DENTISTE À LEVALLOIS - DR FRÉDÉRIC OUAZAN
Cabinet dentaire à Levallois-Perret - Pose d'implants dentaires et dentisterie esthétique
46, rue de Villiers, 92300 Levallois-Perret
+33 1 47 57 00 99
DENTISTE À LEVALLOIS - DR FRÉDÉRIC OUAZAN
Cabinet dentaire à Levallois-Perret - Pose d'implants dentaires et dentisterie esthétique

Cas clinique

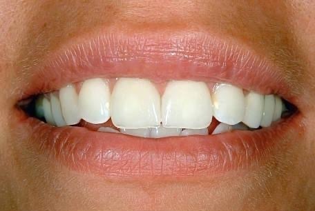
Cas 1

Avant
Après
Avant
Après

Il s’agit d’une Patiente âgée de 50 ans

Motif de la consultation : Demande esthétique avec réhabilitation prothétique globale.

Actes réalisés :

  • Réalisation d’un bilan esthétique et fonctionnel initial.
  • Extraction des éléments dentaires compromis en accord avec la patiente, dans le cadre du plan de traitement global.
  • Mise en place d’un plan thérapeutique incluant la gestion des espaces édentés, l’équilibre occlusal et l’harmonisation esthétique du sourire
  • Mise en place d’implants dentaires en vue du support prothétique.
  • Réalisation d’une réhabilitation prothétique globale en céramique visant à restituer la fonction masticatoire, l’esthétique dentaire et le soutien des tissus péri-oraux.

Cas 2

Avant
Après

Création par Webdentiste

Connexion